白衣天使是人們對醫生護士的美譽,你可曾知道,在濱州人民醫院,有的天使卻身穿沉重的鉛衣——他們就是介入手術室的醫生護士。因為工作的特殊性,他們需要在血管造影機放射出X光射線的手術室里工作,長期與X光輻射為伴。一談到輻射,人們都會為之色變。而他們卻每天身穿幾十斤重的鉛衣,在手術臺前一站便是幾個小時、有時甚至十幾個小時,一天所“吃”的射線相當于拍了上萬次胸片。除了累得汗流浹背、腰酸腿疼,還要承受免疫力下降、癌變幾率增大等傷害,他們在用自己的命換患者的命,他們是蠟燭,燃燒自己,照亮別人。(圖文:李健生 耿玉學)

2018年1月16日下午14點5分,濱州市人民醫院介入手術室。一位醫生正獨自為一名患者做心臟冠脈造影手術。因為手術室有強輻射,所以,每臺手術都把醫生護士減到最少,其他人在鉛質玻璃外隨時待命,需要時立馬進去。手術室中間、緊貼手術臺擺放著一臺四五米高的“龐然大物”——高輻射的大型X光造影機,這是介入手術必用的一種設備。在整個手術過程中,它就像醫生的眼睛,能夠將患者的病變部位看得一清二楚。

介入手術室更衣室,有一個專門的鋼制衣架,上邊掛著一些藍色或似迷彩雨衣樣的衣服,沒有袖子,看上去像連衣裙。另有鉛帽、鉛圍脖及鉛眼鏡。我掂了下,每一件都很重。我了解到,在醫院,雖然有害輻射并不是介入手術室的“專利”,其他如放射室、CT室、核磁共振室等也都存在,但他們都是隔室操作,所以,在醫院的各個科室中,介入科的輻射是最為嚴重的,因此醫生的裝備也最齊全,但是即便這樣,被輻射也是不可避免。

今天下午我要拍攝的是為一名中年女性患者做心臟支架手術。為她做手術的是濱州市人民醫院副院長崔家玉,心內一科主任賈榮波親自為他做助手。手術前,醫生護士們在緊張忙碌著,做術前準備工作。

不多會兒,剛剛做完另外一臺手術的崔院長趕過來了,開始披掛上陣。聽說我前來采訪,崔院長說:“我們醫院分別于1993年、1999年在全市率先開展心臟起搏器手術和冠脈介入手術,20多年了,這些都不是什么新技術,沒什么值得炫耀的,現在各縣區的二級醫院都能做”。當我說明這次采訪的目的主要是想真實地反映介入手術室的醫護人員在艱苦、危險的工作環境中舍生取義、甘于奉獻的大醫精神時,崔院長微微一笑:“別聽外界瞎說,沒那么玄乎,現在的防護措施都很嚴格,至今為止我們心內科共完成心臟介入手術3600例,有一半的我都親自上臺參與手術,可作為我本身來說,‘吃線''少說也有兩千多個小時,無非是掉了幾根頭發而已。”

他說的是那么的輕松,可在去之前,對于X射線的危害,我已經查閱了許多資料,做了大量的功課,事實絕不是他說的那樣。

見我執意要采訪,他又和我約法三章:“一、我們醫院每個科室、每一名醫護人員都在各自的崗位上默默奉獻著,都有許多可歌可泣的感人故事,介入手術室只是其中的一個普通科室而已;二、我本人是市人民醫院介入手術室團隊的一員,這個團隊的主要成員有許道營,賈榮波,秦亮,吳向軍,劉永選,付超,李文景等等,還有所有的護士們,一定要多寫我們的團隊,少寫、甚至不寫我個人;三、一定要實事求是,不要吹牛!”

鉛衣、鉛圍脖穿戴完畢,再戴上重重的鉛帽和鉛鏡。

最后再穿上一層嚴嚴實實的無菌手術衣。

戴上手術手套,繁瑣的術前消毒隔離工作全部到位。

此時術前各項準備工作基本完畢,護士長耿玉學在為受術患者講著術中注意事項以及其他寬慰的話。

開始輪到我披掛上陣觀戰了。經過一系列嚴格的消毒,在護士的幫助下我穿上了幾十斤重的鉛衣。剛上身,我就覺得抬腳非常吃力,走路明顯晃蕩;再戴上鉛帽子、鉛圍脖后,突然感到整個人有些昏沉,身體都撐不直。僅僅幾分鐘之后,就有些氣喘吁吁了。有句話形容疲憊是這樣說的——雙腿像灌了鉛一樣,而我現在幾乎是全身都灌了鉛。據說,一些剛剛進入科室的年輕醫生、護士,因為適應不了沉重的鉛衣,一臺手術下來就幾乎虛脫。

開始穿刺。心臟介入手術的最大優勢是利用穿刺和導管進行診療。對于病患來說,這意味著穿一個很小的口,去治大病或者疑難雜癥,而且只要局麻。我發現,整個手術過程,醫生和患者一直在不停的進行語言交流,患者思維清晰,絲毫沒有痛苦的表情。

心臟支架手術一般需要一到兩個醫生,用很細的導管和導絲在病人身體內穿行。導管走到身體的什么地方,走的方向對不對,全靠屏幕上的透視影像判斷。有時,導管會放出一陣“煙霧”,那是造影劑。通過“煙霧”可以看清病灶的形態。然后,醫生們盯著圖像,開始手上的“針線活”。




手術在緊張的進行中......



談起手術醫生的辛苦,護士長耿玉學對我說:有天下午有幾臺常規手術,明明已經到下班時間,可最后1臺還沒做完,而這時值班醫生打電話告訴我們急性心梗的病人來了。此刻的崔家玉副院長剛剛做完了一臺耗時3個多小時的復雜手術,已是非常勞累,可他還是堅持著脫下汗水濕透的衣服,換上了新的手術衣,隨后馬不停蹄地又上了手術臺。那臺手術的患者是位年僅20多歲的小伙子,體重200多斤,崔家玉副院長和賈榮波主任分秒必爭地放入支架后,又親自耐心地講解了手術結果,特別強調以后的注意事項。患者在聽了崔院長的教導和囑托之后,眼里含著淚花,感激之情溢于言表。而在剛剛做完這臺之后,接著又來了一位30多歲的心梗病人,崔院長和賈榮波主任、秦亮副主任沒來得及喘口氣、喝口水,擦擦頭上身上的汗水,換上衣服又上臺,和手術室的醫護人員投入了緊張的搶救手術中。

據私下了解,崔家玉副院長最長的一臺介入手術時間為4個多小時,最長的一天連續做了9臺手術,手術時間一共13個多小時。

X光線能夠穿過人體,所以就要靠連接起來的導絲注入“造影劑”,這種“造影劑”是X光線所穿不過去的,從而根據造影分辨出血管變窄的地方,找到“罪犯血管”,進行進一步的“架血管支架”治療。

輸入“造影劑”。

在“造影劑”的幫助下準確找到血管狹窄部位。

精確放入血管支架。

這臺手術進行的非常順利,從患者進入手術室,到手術全部完成一共一個小時二十分鐘。

手術結束后,崔院長走出手術室,脫下鉛衣,來不及休息一會兒,就忙著向患者家屬介紹手術經過以及術后注意事項。我看到,他里面的手術服已經濕透了大半。聽身邊的護士講,這還算好的,今天的手術時間不長,有時候幾個小時的手術下來,手術衣都能擰出水來。

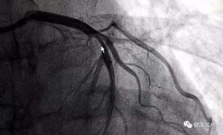
最后,讓我們一起欣賞一下“妙手回春”的美麗“春色”。術前,光標指引處,左冠狀動脈狹窄,嚴重影響了血流通暢。

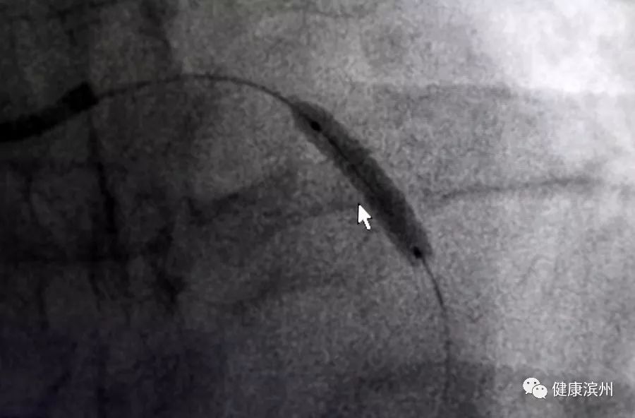
術中,心臟支架放入。

術后,病灶消失的無影無蹤,血管像航拍大地的河流,恢復了奔流不息的景象。
鉛衣重,重不過患者的生命,
輻射大,大不過醫生的責任!
有一種愛叫堅持,無論前途坎坷艱辛,始終勇往直前......
有一種愛叫無畏,無視自身痛苦傷害,始終大義凜然......
讓我們向這群“鉛衣天使”致以最崇高的敬意!